ご予約・問い合わせ072-625-8898
気になる箇所だけを治したい
そんな希望にお応えします

部分矯正治療とは、その名の通り部分的に歯を移動させる治療です。
「前歯だけ治療したい」「この部分だけを動かしたい」などのご要望にお応えすることができます。
マウスピース矯正や裏側の装置を使用し、見た目にもわかりにくい装置も選択することも可能です。
また外傷により乱れた歯並びの改善や、破折した歯の牽引なども行うことが可能です。
| 気になるところをピンポイントで 治療可能 |
全顎矯正と比べ「短期間」で 治療可能 |
より良い歯を残すことが 可能 |
|---|---|---|
| 前歯4本だけ、すきっ歯の部分だけ、八重歯だけ、下の歯のガタガタだけなどご希望に合わせ対応が可能です。 | 全顎矯正と比べ治療期間も短くなります。本格的な矯正では数年かかるのが通常ですが、部分矯正の治療期間は数ヶ月~1年で終了します。 | 状態の悪い歯が存在し、その横に健全だが歯列から逸脱した歯がある場合など、状態の悪い歯を抜歯し健全な歯をその位置に持ってくることも可能です。 |
※表は左右にスクロールして確認することができます。
| 治療できる歯並びに制限がある | 全顎矯正へ移行をすることがある | 保定装置が必要となることがある |
|---|---|---|
| 部分矯正では奥歯を動かさないため歯を大きく動かすことができず、全顎の矯正にくらべると治療できる歯並びに制限があります。また、かみ合わせに問題がある場合は部分矯正では治すことができません。 | 結果に満足できない、もっと全体的にきれいに並べたくなったということが起こった場合、全顎矯正へ移行をすることがあります。 | 歯列改善後は、なんらかの保定装置が必要となることがあります。 |
※表は左右にスクロールして確認することができます。
患者さまが費用や期間を節約したいために部分矯正を希望されることもありますが、かみ合わせの問題を抱えているにも関わらず部分矯正を行うと期待した効果が出ない場合や後戻りの危険もあります。

部分矯正のメリットとして、全顎矯正に比べると費用が安いというのが挙げられます。
昨今のマウスピース矯正の普及により部分矯正もインビザラインで矯正治療が可能となりました。
インビザラインというシステムで改善する場合もあれば、インビザラインGoと呼ばれる前歯部に特化してインビザラインで治療を行うこともあります。
インビザラインは海外の会社の商品ですので、基本的には歯科医院で採取したデータをもとに海外で装置を作製し郵送され納品されます。
全顎矯正であればコストの患者負担を軽減しやすいのですが、部分矯正の場合はインビザラインにかかる送料などの初期費用の負担を患者様がすることになるため、従来のワイヤー矯正での部分矯正に比べると費用が割高になってしまいます。
当院では治療計画の中でインビザラインの方が効果的である場合や、患者様の審美的な希望が強くある場合といったコストのデメリットを踏まえた上でもインビザライン治療にメリットがある場合を除いて、従来のワイヤー矯正での部分矯正をお勧めすることが多いです。

上下の正中のズレやかみ合わせ、出っ歯の程度を大きく改善するには全顎矯正が必要となります。
大学4年生で就職による転居の可能性もあったため、短期間で終わる部分矯正を行うこととしました。就職活動への影響も不安に思われていたためインビザラインでの部分矯正を選択されました。
下顎は動かさないですが出っ歯を改善するための支えとするためインビザラインのマウスピースは上下とも入るようになります。
顎間ゴムの使用の協力性も良く上顎前歯が中に入り、すきっぱもきれいに改善し大変喜んでいただけました。
下顎は動かしていないため、上顎を中に入れられる限度は下の前歯の位置までとなります。
すきっぱは後戻りがしやすい歯並びなので、矯正後は歯の裏側からワイヤー固定を使用し、マウスピースも継続して使用する必要があります。
ホワイトニングも行っているため歯の色もきれいになりました。
本来であれば全顎矯正が必要となる場合も、患者様の希望とお口の中の状況を整理し、治療方法について相談します。
※現在大人の方の矯正治療は平日午前中に来院可能な方のみ受付しております。
インビザラインの部分矯正は非常にコストがかかります。全顎矯正の場合インビザラインはワイヤー矯正の価格の1.2倍くらいの価格になります。(当院の場合)
これが部分矯正になるとワイヤー矯正の価格の2倍以上かかる場合もあります。それはインビザラインのシステムの初期費用がかなり高額であるため、部分矯正でも高い費用がかかってしまうのです。下記に記載するワイヤー矯正を使った部分矯正症例の価格と比較いただけたらと思います。

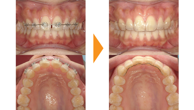
| 初診時 | 21歳8か月女性 |
|---|---|
| 主訴 | 上の歯の出っ歯とすきっぱが気になる |
| 期間 | 約8か月 |
| 矯正 | インビザライン・IPR・顎間ゴム |
| 費用 | 基本検査22,000円・契約料495,000円・調整料5,500円/月(税込) |
| 治療上のリスク | 歯磨き不良の場合はむし歯になる可能性。 習癖に伴う後戻りの可能性。 |

全体的な歯並びの問題やかみ合わせの問題がほとんどなかったため、ご本人の希望されていたすきっぱ(正中離開)を部分矯正で治療した症例です。
インビザラインでの治療も可能な症例ですが、コストがかかりすぎるためワイヤー矯正を選択されました。当院もこのような軽度の方は費用面での問題からワイヤー矯正をお勧めすることが多いです。
すきっぱは後戻りがしやすい歯並びなので、矯正後は歯の裏側からワイヤー固定を使用し、マウスピースも継続して使用していただいています。
※現在大人の方の矯正治療は平日午前中に来院可能な方のみ受付しております。
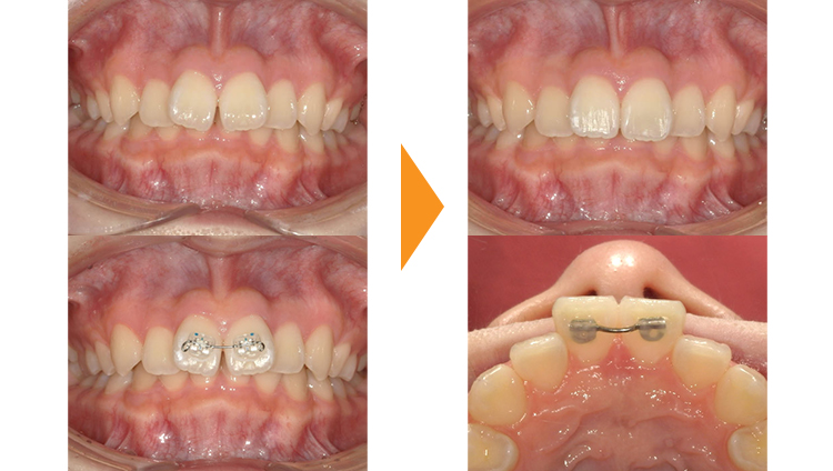
ワイヤーをつける前歯の数は、前歯2本だけの場合もあれば上顎全体の14本つける場合もあります。この患者様は前歯6本に矯正器具を装着しました。

| 初診時 | 27歳女性 |
|---|---|
| 主訴 | すきっぱが気になる |
| 期間 | 約7か月 |
| 矯正 | ワイヤー矯正 |
| 費用 | 基本検査22,000円・契約料165,000円・調整料5,500円/月(税込) |
| 治療上のリスク | 歯磨き不良の場合はむし歯になる可能性。 習癖に伴う後戻りの可能性。 |

治療期間の問題や、高校生で進学による通院が困難になる可能性もあり、ご本人の希望されていたすきっぱ(正中離開)を部分矯正で治療した症例です。
インビザラインでの治療も可能な症例ですが、ワイヤー矯正の方が治療開始が早くできる点や、インビザラインではコストがかかりすぎるためワイヤー矯正を選択されました。インビザラインはスキャンから発注・治療計画の修正・郵送といった手続きがあるため1か月以上は治療開始まで日数を要します。
ワイヤーであればその日に装置を付けることも可能ですので、今回のような治療期間が4か月と短い場合には、インビザラインで失う1か月はかなり大きなデメリットとなります。
またインビザラインの場合、先ほどのように前歯6本に矯正器具を装着するケースと、今回のように前歯2本のみ矯正器具を装着するケースで費用が同じであることが多いです。ワイヤー矯正の場合は器具の数に応じて費用が変わることも多く、当院でも器具の数は治療期間の目安によって価格が変わります。
すきっぱは後戻りがしやすい歯並びなので、矯正後は歯の裏側からワイヤー固定を使用し、マウスピースも継続して使用していただいています。
※現在大人の方の矯正治療は平日午前中に来院可能な方のみ受付しております。
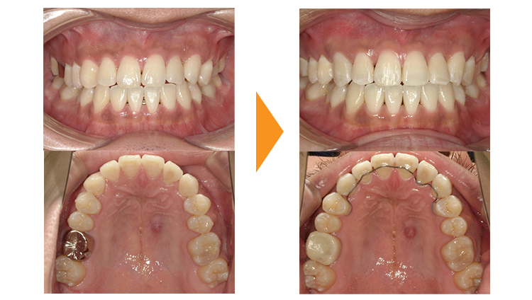
この患者様は前歯2本に矯正器具を装着し、動かす量も少なかったため短期間で矯正治療が終了することができました。
| 初診時 | 16歳女性 |
|---|---|
| 主訴 | すきっぱが気になる |
| 期間 | 約4か月 |
| 矯正 | ワイヤー矯正 |
| 費用 | 基本検査22,000円・契約料110,000円・調整料5,500円/月(税込) |
| 治療上のリスク | 歯磨き不良の場合はむし歯になる可能性。 習癖に伴う後戻りの可能性。 |

マウスピース矯正でのトラブル症例です。
マウスピース矯正が普及してる一方で、マウスピース矯正のトラブルが非常に多くなっています。
トラブル例として
・何年もやっているのに終わらない
・治療終了と言われたが、最初のシミュレーション通り歯が動いてない
・治療終了したが、歯や口元がでてしまっている
・マウスピースをきちんと使っていたのに、治らないのは使用時間が短いせいにされる
といった内容が非常に多いです。
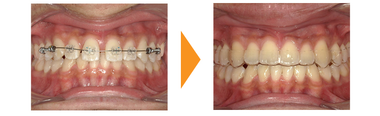
この患者様は〇〇〇ラインというマウスピース矯正で費用も全額お支払いになっており、これで終了と言われたが、歯のねじれが残っていることを主訴に来院されました。
費用のことや、治療期間、矯正中や矯正後に神経の処置やかぶせ物の治療といった一般歯科治療が必要であり歯の形が変わってしまうことを踏まえ患者様と相談したうえ、ワイヤーの部分矯正にて対応した症例です。
※現在大人の方の矯正治療は平日午前中に来院可能な方のみ受付しております。
実際に矯正器具を付け歯を動かしていくと、右上の犬歯がかなり「動きにくい」状態でした。
ワイヤー矯正のメリットは24時間力を持続的にかけ続けられることですが、それでも歯が動く量が通常よりもかなり少なく移動にかなりの時間を要しました。
この患者様がもし当院でマウスピース矯正のような取り外しが可能な装置で最初治療を開始したとしてもうまくいかなかっただろうなと思います。実際に歯を動かしてみて「歯が動きにくい」ことがわかることもあります。このような方がマウスピース矯正を行っていて途中で「歯が動かない」状況になった場合はワイヤー矯正に切り替えるなどの対応が必要となります。「矯正治療で歯が動かない」ことについてはこちらのブログも参照してください。

| 初診時 | 26歳男性 |
|---|---|
| 主訴 | 他院でマウスピース矯正をしたがガタガタが治っていない |
| 期間 | 約10か月 |
| 矯正 | ワイヤー矯正 |
| 費用 | 基本検査22,000円・契約料220,000円・調整料5,500円/月(税込) |
| 治療上のリスク | 歯磨き不良の場合はむし歯になる可能性。 習癖に伴う後戻りの可能性。 |

受け口タイプのかみ合わせをしているため下顎の突き上げが強く、すきっぱになってしまっている症例です。
安定性やすきまを全部埋めるためには全顎矯正が望ましい症例でしたが、患者様と相談の結果、上の真ん中の隙間を上の3番目と4番目の歯の間に集め分散させる部分矯正を行うこととしました。(すきまの位置を目立たない位置へ移動させる治療となりすきまをなくす治療ではありません)
※現在大人の方の矯正治療は平日午前中に来院可能な方のみ受付しております。
実際に矯正器具を付け歯を動かしていくと、この症例の方も右上の犬歯がかなり「動きにくい」状態でした。
結果論としては、このような歯が動きにくい方はマウスピース矯正をしなくて正解だったなというのが正直な感想です。
元々の予定であれば上の歯の真ん中が均等に閉じるため、当初上下の正中線のずれが顕著であったため部分矯正後も正中のズレは残る予定でした。
右上犬歯が歯の移動の抵抗源となってくれたおかげで上顎の正中線が右にずれたため、図らずも矯正後は上下の正中線が一致し良い結果がたまたま起こりました。
上顎の前歯しか矯正器具をつけていないにも関わらず、下の歯との当たり方がかわったこともあり、上下のかみ合わせが浅くなってくれたことも意図せず良い結果となった点です。
今回は歯が動きにくいことにより矯正治療の予定期間が少し伸びてしまいましたが、たまたま歯並びに良い影響が出てくれました。部分矯正とは、良くも悪くも行き当たりばったりとなり、今回で言う上の前歯の隙間を閉じるという主目的以外の部分は自然に任せるという治療プランとなります。

| 初診時 | 28歳男性 |
|---|---|
| 主訴 | すきっぱが気になる |
| 期間 | 約10か月 |
| 矯正 | ワイヤー矯正 |
| 費用 | 基本検査22,000円・契約料165,000円・調整料5,500円/月(税込) |
| 治療上のリスク | 歯磨き不良の場合はむし歯になる可能性。 習癖に伴う後戻りの可能性。 |

紹介元の歯医者さんで奥歯を抜歯しないといけないと言われた患者様です。予後不良の左上7を抜歯後、部分矯正にて左上8の牽引・排列を行った例となります。
左上7の状態が悪く抜歯適応です。(黄矢印)
左上7抜歯後、左上8が自然に生えてくるのを待ちました。(青矢印)
リンガルアーチとワイヤーを使用し、約9か月で排列しました。
矯正後、仮歯の修正をしていただき治療は終了となります。(赤矢印)
この方のように全体的な歯並びに問題はないものの、むし歯が原因で抜歯になってしまった場合に部分的な矯正治療が効果的な場合があります。
矯正治療にて本来であれば使えなかった親知らずを使用し、インプラントや入れ歯を回避することができました。
※現在大人の方の矯正治療は平日午前中に来院可能な方のみ受付しております。

| 初診時 | 28歳男性 |
|---|---|
| 主訴 | 他院より紹介・インプラントの回避・親知らずの使用希望 |
| 期間 | 約9か月 |
| 矯正 | 部分矯正・ブラケット・ワイヤー・リンガルアーチ |
| 費用 | 基本検査22,000円・契約料275,000円・調整料5,500円/月(税込) |
| 治療上のリスク | 歯磨き不良の場合はむし歯になる可能性。 習癖に伴う後戻りの可能性。 |

子供の時に矯正治療を行っていた患者様です。矯正後は並んでいたが、矯正治療後2年経過した段階で保定装置(リテーナー)を除去し、親知らずをぬいていなかったため前歯のガタガタが戻ってしまったとのことでした。
幸い奥歯の噛み合わせなどには問題なかったため、下顎のみの部分的な矯正治療で対応できました。
親知らずの存在と保定装置を撤去したことが後戻りの原因であるため、矯正中に親知らずを抜歯していただき、保定装置は取り外しのできない舌側固定は半永久的に使用し、取り外し式のマウスピースも夜間は必ずしていただく必要があることを事前に説明し矯正治療を行いました。
矯正治療は並べて終わりではありません。矯正後は保定・維持の始まりでもあります。歯並びによっては保定装置の使用が必要ない場合もありますが、基本的には長期間の保定装置の使用が望ましいことをよくご理解いただけたらと思います。
※現在大人の方の矯正治療は平日午前中に来院可能な方のみ受付しております。

| 初診時 | 36歳女性 |
|---|---|
| 主訴 | 後戻り後の下前歯のガタガタ改善希望 |
| 期間 | 約9か月 |
| 矯正 | 部分矯正・ブラケット・ワイヤー |
| 費用 | 基本検査22,000円・契約料220,000円・調整料5,500円/月(税込) |
| 治療上のリスク | 歯磨き不良の場合はむし歯になる可能性。 習癖に伴う後戻りの可能性。 |