ご予約・問い合わせ072-625-8898
気になる箇所だけを治したい
そんな希望にお応えします

レジンという材料を直接、歯に充填していく方法です。
メリットは歯を削らずに治療ができること、1回で治療が終了することなどがあげられます。
デメリットは欠けたり、経年的な変色が起こるリスクなどがありますが、トラブルがあっても歯を削ったりせずに修復できることは大きな魅力です。
矯正治療においても、左右で歯のサイズが大きく異なる場合などにも有効な治療方法です。

矯正器具は一切使わず、ダイレクトボンディングという方法で治療しています。
コンボジットレジンという材料を使用し、歯を一切削らず即日で修復が可能です。しかし、経年的な摩耗や破折、色の変化などデメリットもあります。
矯正器具は一切使わず、ダイレクトボンディングという方法で治療しています。コンボジットレジンという材料を使用し、歯を一切削らず即日で修復が可能です。
当院は矯正歯科専門クリニックであるため、矯正治療とダイレクトボンディングのメリットデメリットを必ずお伝えしたうえで、治療方法を相談・決定します。
「矯正治療についての話を聞きたくない」・「ダイレクトボンディングをその日にしてほしい」という方は他のクリニック様でご相談ください。
| 初診時 | 20歳女性 |
|---|---|
| 主訴 | 装置は付けずに前歯の隙間を閉じたい。 |
| 期間 | 1日 |
| 治療 | ダイレクトボンディングによる形態修正 |
| 費用 | 形態修正2万×2本=4万(税別) |
| 治療上のリスク | 材料の経年的な摩耗、破折、色の変色の可能性。 歯磨き不良の場合はむし歯や歯周病になる可能性。 |
| その他 | 大人の方の一般治療は平日午前中のみとなります。 |

ダイレクトボンディングという方法で治療しています。コンボジットレジンという樹脂の材料を使用し、歯を一切削らず短期間で修復が可能です。ホワイトニングを同時に希望される場合は、ホワイトニング終了後その色調に合わせて形態修正を行います。
当院は矯正歯科専門クリニックであるため、矯正治療とダイレクトボンディングのメリットデメリットを必ずお伝えしたうえで、治療方法を相談・決定します。
「矯正治療についての話を聞きたくない」・「ダイレクトボンディングをその日にしてほしい」という方は他のクリニック様でご相談ください。
| 初診時 | 19歳女性 |
|---|---|
| 主訴 | 歯を白くして、歯の隙間を閉じたい |
| 期間 | ホワイトニング約1か月・形態修正1日 |
| 治療 | ホームホワイトニング(上下)・ダイレクトボンディングによる形態修正 |
| 費用 | ホームホワイトニング約7万・形態修正3万=約10万(税別) |
| 治療上のリスク | 材料の経年的な摩耗、破折、色の変色の可能性。 歯磨き不良の場合はむし歯や歯周病になる可能性。 |
| その他 | 大人の方の一般治療は平日午前中のみとなります。 |

セラミック修復にて歯並びを改善するには、歯を削る必要があるため、歯の強度が弱くなったり、歯の寿命が短くなる可能性があります。削る量が多かった場合神経を取る必要があり、デメリットの大きい治療となるため当院ではおすすめはしておりません。歯を削らずに歯列の改善ができないかどうかを第一に考えます。外傷などにより、元々神経を取る処置が必要な場合には有効な方法となることもあります。
当院では難しい治療のため、治療を希望される場合は専門のクリニックへ紹介となります。

歯を削り、セラミックにて修復しています。
歯を削る量も多いためデメリットも大きく、適用されるケースは少ない治療方法になります。
歯列矯正を希望され来院されたわけではなく、外傷にて根管治療が必要となり結果的に歯並びの改善となっていますが、通常であればおすすめできる治療法ではありません。
| 初診時 | 21歳男性 |
|---|---|
| 主訴 | 外傷にて歯の脱臼・破折後の治療希望 |
| 期間 | 4ヵ月 |
| 治療 | 精密根管治療・ファイバーコア・セラミック修復 |
| 費用 | (5万+2万+12万)×4本=76万(税別) |
ダイレクトボンディングは自由診療となるため価格設定は医院の裁量によって決めることが可能です。
歯科治療すべてに言えることですが、歯科医師の技量による差が治療結果につながります。
その中でもダイレクトボンディングは、歯科医師が決まった材料のみ(特別な材料が多くあるわけではない)を使って腕1本で仕上げるため、最も技術の差がでるのではと感じる治療となります。
インスタグラムやHPをみても本当に上手な先生方は、非常に技術が高く私には真似できるレベルではないといつも思います。そのような先生方だと費用は当院の倍以上しますが、クオリティを考えると適正価格だと感じます。
では値段が高ければ技術が高いのかというとそうでもありません。
技術が低くても自信のある先生は強気な料金設定をされている方もいらっしゃいます。
歯科医院選びのコツとしてはきちんと症例写真があるというのが最低条件かと思いますが、その写真を見比べてみてください。明らかに写真だけでもクオリティの違いがわかると思います。
ダイレクトボンディングを希望されて当院へ来院される患者様へは、当院はダイレクトボンディングを専門に行っている医院でもなければ、すごく高いクオリティを出せる医院ではないことを正直にお伝えしています。
ダイレクトボンディングで治療を希望されて来院された場合も、矯正治療を行うことで満足していただけることも非常に多いです。ダイレクトボンディングが向いている歯並びの状態もあれば、矯正の方がより良い結果となることも沢山あります。

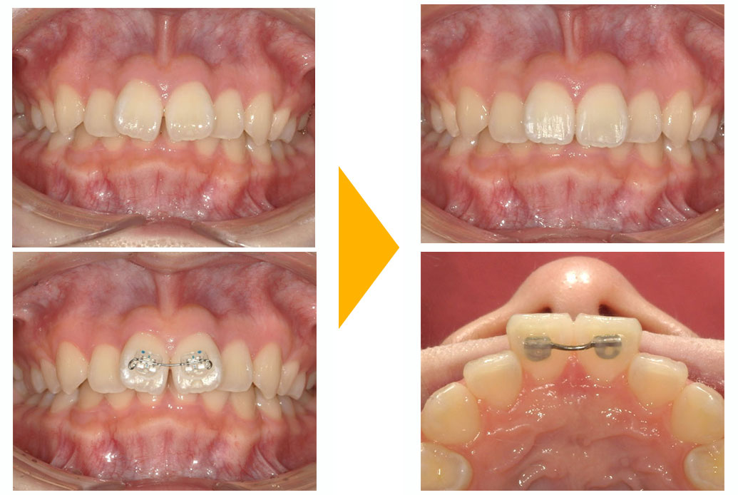
すぐに前歯の隙間(すきっぱ)を閉じてほしいということで元々ダイレクトボンディングを希望されて来院されました。
ダイレクトボンディングは歯の大きさが大きくなってしまうという大きなデメリットがあります。
この症例の方のように上の前歯2本が出っ歯で前にでておりさらに歯の大きさが元々大きい場合は、ダイレクトボンディングを行うとすきっぱは治るのですが出っ歯が強調された歯並びになります。ダイレクトボンディングを行うと別の問題を強く感じることが多いケースです。
上記のことをお伝えし、高校生で進学による通院が困難になる可能性もあったため全顎矯正はせず、すきっぱ(正中離開)のみを部分矯正で治療した症例です。
インビザラインでの治療も可能な症例ですが、ワイヤー矯正の方が治療開始が早くできる点や、インビザラインではコストがかかりすぎるためワイヤー矯正を選択されました。インビザラインはスキャンから発注・治療計画の修正・郵送といった手続きがあるため1か月以上は治療開始まで日数を要します。
ワイヤーであればその日に装置を付けることも可能ですので、今回のような治療期間が4か月と短い場合には、インビザラインで失う1か月はかなり大きなデメリットとなります。
すきっぱは後戻りがしやすい歯並びなので、矯正後は歯の裏側からワイヤー固定を使用し、マウスピースも継続して使用していただいています。
※現在大人の方の矯正治療は平日午前中に来院可能な方のみ受付しております。
この患者様は前歯2本に矯正器具を装着し、動かす量も少なかったため短期間で矯正治療が終了することができました。
| 初診時 | 16歳女性 |
|---|---|
| 主訴 | すきっぱが気になる |
| 期間 | 約4か月 |
| 矯正 | ワイヤー矯正 |
| 費用 | 基本検査22,000円・契約料110,000円・調整料5,500円/月(税込) |
| 治療上のリスク | 歯磨き不良の場合はむし歯になる可能性。 習癖や成長に伴う後戻りの可能性。 |

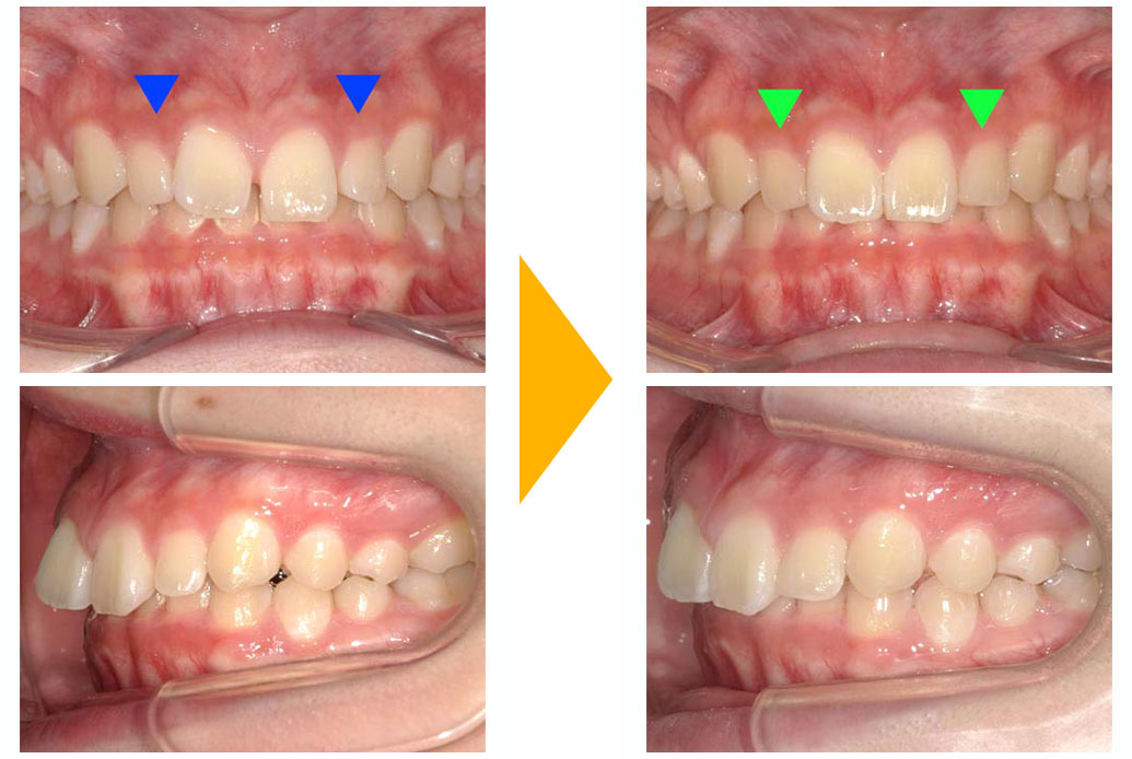
前歯の隙間(すきっぱ)を閉じてほしいということで元々ダイレクトボンディングを希望されて来院されました。
ダイレクトボンディングは歯の大きさが大きくなってしまうという大きなデメリットがあります。
この症例の方のように上の前歯2本が大きく、2番目の前歯が小さい矮小歯(▼)の場合は、ダイレクトボンディングを行うとすきっぱは治るのですが上の2本の前歯のサイズが大きすぎてアンバランスとなります。ダイレクトボンディングのみを前歯に行うと別の問題を強く感じることが多いケースです。
上記のことをお伝えし、すきっぱ(正中離開)を部分矯正で治療し、余ったスペースを元々小さかった矮小歯を形態修正を行い改善した(▼)症例です。
矯正を併用することでより良い結果が得られる典型的な症例となります。ダイレクトボンディングをさらにきれいにしたい場合はクオリティの高い治療技術をもった先生へ紹介も可能です。
ダイレクトボンディングはプラスチックの樹脂を張り付ける方法であるため経年的な変化を起こしやすいのがデメリットでもあります。場合によってはラミネートべニアやセラミック修復を行う場合もあります。(紹介となります)
すきっぱは後戻りがしやすい歯並びなので、矯正後は歯の裏側からワイヤー固定を使用し、マウスピースも継続して使用していただいています。
※現在大人の方の矯正治療は平日午前中に来院可能な方のみ受付しております。
この患者様は前歯2本に矯正器具を装着し、動かす量も少なかったため短期間で矯正治療が終了することができました。

| 初診時 | 18歳女性 |
|---|---|
| 主訴 | すきっぱが気になる |
| 期間 | 約4か月 |
| 矯正 | ワイヤー矯正・ダイレクトボンディング |
| 費用 | 基本検査22,000円・契約料150,000円・調整料5,500円/月(税込) |
| 治療上のリスク | 歯磨き不良の場合はむし歯になる可能性。 習癖や成長に伴う後戻りの可能性。 |
歯並びの問題を引き起こす原因として矮小歯があります。
矮小歯は、歯自体が通常よりも小さい歯のことを言います。歯の形態によっては、円錐歯や栓状歯とも呼ばれることがあります。
多くの場合上顎側切歯(上の前から2番目の歯)におきます。歯が小さいことにより、かみ合わせのバランスがとりにくく、歯の間に隙間(すきっぱ)が生じてしまいます。

上記症例のように、矯正治療を行っていくと、矮小歯の存在のため上下のバランスが合わず隙間が残ってしまうことがあります。(▼)
この隙間を矯正治療にて完全に閉じることが難しい場合、最終的にはダイレクトボンディングを行い歯の大きさを修正することにより改善することが少なくはありません。(▼)
上下顎の歯の大きさの不調和がある場合にダイレクトボンディングを避ける場合は、IPRと呼ばれる歯の大きさを少し小さくする処置を行いバランスを合わせることもあります。
歯並びの問題を引き起こす原因として先天性欠損があります。
先天性欠損がある場合の治療は先天性欠損の部位や本数により治療が大きくことなりますが、歯がないためできたすきまを矯正治療にて閉じる治療を行うことが多いです。
先天性欠損が上顎側切歯(上の前から2番目の歯)におきると上の前歯の横に犬歯がきてしまうため、歯と歯の隙間はないものの、歯の形の問題から隙間があるように見えてしまいます。

上記症例のように上顎両側側切歯の先天性欠損があると(▼)、矯正治療を行う前はすきっぱになってしまうことが多いです。矯正治療にて歯と歯の隙間は閉じることは可能ですが、とんがった犬歯の形態の問題で依然としてすきっぱにみえてしまうことがしばしば起こります。
この隙間は矯正治療にて改善することはできないため、最終的にはダイレクトボンディングを行い歯の形態を修正することにより改善することがあります。(▼)
前歯以外にこのような状態が起きていたとしても審美的な問題がないのであればそのまま経過観察することがほとんどです。
永久歯の先天性欠損は10人に1人の高確率で起こる現象であり、先天性欠損の場所は上の2番目に起こる確率が高いため、この症例の方のような問題が起きることはかなり多いのが実情です。